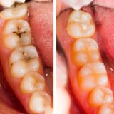
A filling helps to restore a tooth damaged by decay to its normal function and shape and helps to prevent further decay by eliminating areas where bacteria can enter the tooth.
Different types of Filling Material
- Glass Ionomer Cement
- Miracle Mix
- Composite (Tooth Color)
Cost of dental filling ranges from NPR 1500 to NPR 3000.
Duration for a filling
- It all depends on the type of cavity, the material used, chewing habits.
- Dental Fillings are durable but might not last forever
Things to be followed after filling the tooth
- Do not eat food for about 30 mins after the filling procedure.
- Do not chew from the side of filled tooth for 24 hrs.
- Chew slowly and bite lightly.
- Skip sticky foods.
- Avoid very hot or cold drinks for next 24 hrs
- Avoid sugary foods.
- Do not chew nuts, hard candy.
For Prices of Dental Filling in Nepal – Visit Prices / Services Page
What could happen if you don’t do dental fillings?
- Increased sensitivity
- Painful unexpected dental emergencies
- Toothache
- Gum diseases
- Cavities in more teeth
- Root canal treatment
- Bigger dental bills
Hence, It’s best to treat a cavity with a small dental filling before you’re in pain.
Deep Caries Management (DCM)
Deep carious lesion is a clinical diagnosis that is given when the caries process has penetrated deep into the dentin with possible pulpal exposure.
It causes pulpal inflammation i.e. pulpitis. If not managed, they may result in pulpal necrosis and involvement of periradicular tissues causing pain and requiring endodontic treatment or extraction.
DCM can be done by following methods:
- Indirect pulp capping
- Direct pulp capping
Indirect pulp capping:
This procedure is performed in a tooth with deep carious lesions adjacent to the pulp. In this procedure, all infected carious dentin is removed leaving behind small carious dentin near the pulp to avoid its exposure and the preparation is covered with a biocompatible material.
Direct pulp capping:
This procedure involves the placement of biocompatible material over accidentally exposed pulp during cavity preparation.
Clinical procedure:
- Band the tooth if grossly decayed
- Remove the soft caries with spoon excavator or round bur leaving some caries near the pulp to avoid its exposure in case of indirect pulp capping
- In case of direct pulp capping when there is accidental exposure of the pulp, clean the area with distilled water or saline solution
- Then in both the cases apply liner (i.e. MTA or calcium hydroxide), then place glass ionomer cement as temporary filling.
- After 4 weeks removed the filling gently and if there is reparative dentin formation then permanent filling with composite material is done
- If not then proceed with root canal treatment

Benefits of using Mineral Trioxide Aggregate (MTA) as liner:
- This material has good long term sealing capabilities, and some studies show greater success than other materials
- Excellent material of choice for direct vital pulp exposure because of its higher success rate
Benefits of Calcium Hydroxide lining material:
- Adhesive can be acidic and can cause pulpal irritation
- Hence, calcium hydroxide has been shown to provide a significantly improved potential for pulpal repair than adhesive resins